A comprehensive heart screening can detect the majority of heart conditions that go unrecognized. It is a quick, painless, noninvasive test that can identify abnormal heart rhythms and heart structure.
Echocardiogram:
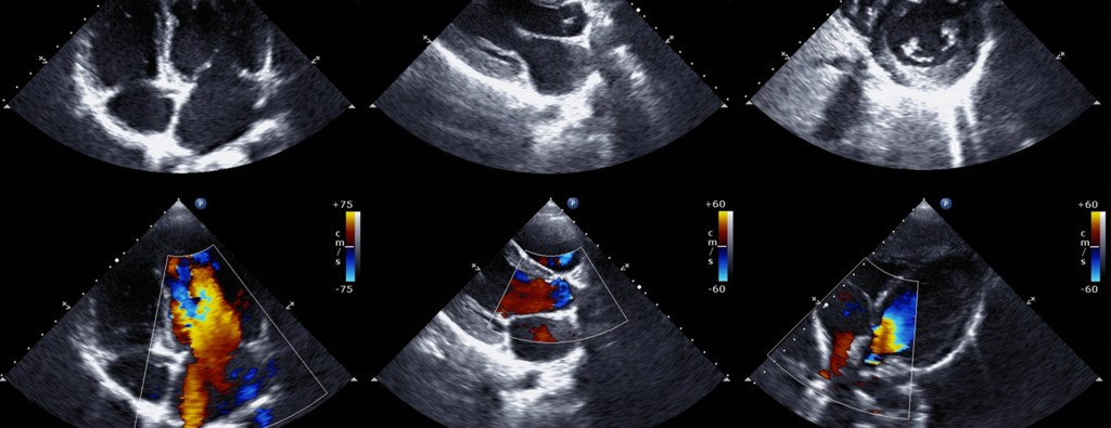
An Echocardiogram (echo) is like an ultrasound, an imaging method that uses sound waves to capture precise images of your heart.
An echocardiogram checks how your heart’s chambers and valves are pumping blood through your heart. An echocardiogram uses electrodes to check your heart rhythm and ultrasound technology to see how blood moves through your heart.
An echocardiogram can detect all underlying congenital heart defects that are not detected by using a pulse oximetry and an electrocardiogram (EKG).

